< Radiation Oncology  
 
 
      Epidemiology
- Arise from embryonic notochordal remnants along neuraxis, which in adults are primarily located at skull base and in sacrum
- Rare tumor; US incidence 0.08/100,00
- Represents 6% of skull base tumors; but 2-4% of primary bone neoplasms
 
- Median age is 60 (though in blacks age 27)
- More common in males (incidence 0.10/100,000) than females (0.06/100,000)
- Predominately in whites (91%), rare in blacks (2%)
- Characterized by slow growth, with local destruction of bone and extension into adjacent soft tissues. Typically have an indolent course with multiple local recurrences
- As many as 30-40% may metastasize, but typically toward the end of disease course
- NCI/SEER; 2001 PMID 11227920 -- "Chordoma: incidence and survival patterns in the United States, 1973-1995." (McMaster ML, Cancer Causes Control. 2001 Jan;12(1):1-11.)
- SEER database. 400 cases, microscopically confirmed chordoma.
- Epidemiology: Incidence 0.08/100,000; more common in males (0.10) than females (0.06); more common in whites (91%). Youngest age quartile cranial presentation (54%) vs. oldest age quartile sacral presentation (41%)
- Treatment: Surgery alone 48%, surgery + EBRT 38%, RT only 14%. Sacral lesions more likely RT alone (32% vs. 11%)
- Outcome: median OS 6.3 years; 5-year OS 68%, 10-year OS 40%
 
Anatomy


- In adults, remnants of notochord are present as the nucleus pulposus of the intravertebral discs, and distribution of tumors matches distribution of the remnants
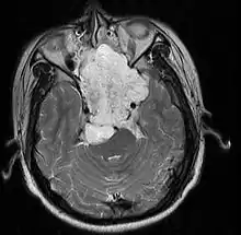
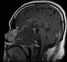
- ~35% in sphenooccipital region (almost always involving clivus)
- 15-30% in vertebral column
- 30-50% in sacrococcygeal region
 
- NCI/SEER; 2001 (1973-1995) PMID 11227920 -- "Chordoma: incidence and survival patterns in the United States, 1973-1995." (McMaster ML, Cancer Causes Control. 2001 Jan;12(1):1-11.)
- SEER database. 400 cases, microscopically confirmed.
- Outcome: Cranial 32%, spinal 33%, sacral 29%
 
- Mayo Clinic; 1973 (1910-1971) PMID 4722921 -- "Chordomas and cartilaginous tumors at the skull base." (Heffelfinger MJ, Cancer. 1973 Aug;32(2):410-20.)
- Retrospective. 155 chordomas. 49% sacro-coccygeal, 36% spheno-occipital, 15% vertebral column. Presentation, pathology, and outcomes reviewed
 
Presenting Symptoms
- Location-dependent
- Combination of pain, weakness, sensory abnormalities, motor abnormalities and bowel/bladder dysfunction
- Pain onset typically insidious; median duration 14 months (4-24 months) in one study
- Sacral: 
- Tumors can grow to a large size
- Primary presenting complaint is lower back / sciatic pain, and constipation
 
- Mobile spine:
- Neurologic deficit more common than in sacrum, approaching 50%
- Airway obstruction or dysphagia in cervical spine
 
- Skull base:
- May be intracranial or extracranial, with mass effect symptoms depending on location
- Headaches and/or facial pain are common
- Pituitary insufficiency, hemianopsia/diplopia, cranial nerve deficits, nasal stuffiness.
 
Histologic Subtypes

- Conventional
- Chondroid
- Better prognosis
- Subtype with predilection for skull base location
 
- Dedifferentiated
- Memorial Sloan Kettering; 2008 PMID 18641983 -- "Chordoma and chondrosarcoma gene profile: implications for immunotherapy." (Schwab JH, Cancer Immunol Immunother. 2008 Jul 19. [Epub ahead of print])
- Affymetrix gene expression profiles, 6 chordoma and 14 chondrosarcoma. Validation by qPCR and IHC
- Outcome: Both show overexpression of extracellular matrix genes compared to other sarcoma types. Chordoma selective expression of T Brachyury and CD24; chondrosarcoma Type IX and XI collagen. HMW-MAA expressed in chordoma 62%, chondrosarcoma 48%
- Conclusion: Similar gene profile of upgregulated ECE matrix genes
 
Treatment Overview
- Maximal resection followed by proton beam irradiation.
- Overall survival is dependent upon local control of disease. Prognostic factor for local control of disease is amount of residual tumor after original surgery (<25cc residual tumor is better).
- Clear margins are achieved in <50% of skull base chordomas.
- Doses of 70 CGE necessary for control of residual disease.
 
Surgery
- Most important prognostic factor is en bloc resection with negative surgical margins
- Technically, this may be achieved in ~50% of patients, and leads to 70% long-term control rate
- Extensive infiltrating disease at presentation
- Nearby critical structures, resulting in severe morbidity from radical approaches
 
- Primary operation is critical, as reoperation has significantly lower rates of technical success
- Subtotal resection results in ~70% recurrence rate
Skull Base
- Hannover; 2007 (Germany) PMID 17695386 -- "Chordomas of the skull base: surgical management and outcome." (Samii A, J Neurosurg. 2007 Aug;107(2):319-24.)
- Retrospective. 49 patients. Transethmoidal approach 36%, pterional 23%, retrosigmoid 23%.
- Outcome: GTR 49%, subtotal resection 51%. Initial surgery GTR 78%. 5-year OS 65%, 10-year OS 39%
- Toxicity: New neurological deficit 12%
- Conclusion: Chordoma cannot be regarded as surgically curable tumors, given the 5- and 10-year OS
 
- University of Washington; 2006 (1988-2004) PMID 16883163 -- "Patient outcome at long-term follow-up after aggressive microsurgical resection of cranial base chordomas." (Tzortzidis F, Neurosurgery. 2006 Aug;59(2):230-7; discussion 230-7.)
- Retrospective. 74 patients, aggressive microsurgical resection of cranial base chordomas, 121 procedures. Primary operation 63%, re-operation 37%. Mean F/U 8 years
- Outcome: Gross total resection 72%, subtotal resection 28%. During F/U, NED 32%, alive with disease 50%, died of disease 15%, died of complications 3%. 10-year RFS 31% (primary surgery 42% vs reoperation 26%, SS)
- Conclusion: Aggressive microsurgical resection can be followed by long-term tumor free survival, with good functional outcome
 
Mobile Spine Chordoma
- Bologna; 2006 PMID 16481964 -- "Chordoma of the mobile spine: fifty years of experience." (Boriani S, Spine. 2006 Feb 15;31(4):493-503.)
- Retrospective. 52 chordomas of mobile spine, 37 cases 1991-2002.
- Outcome: Post-op mortality 8%. If en bloc resection, 67% (12/18) without relapse at median F/U 8 years, 100% of relapses (6/6) had prior inadequate resections. All others (RT alone, surgery with SM+, or surgery with SM+ and adjuvant RT) had recurrences <2 years. Intralesional excsion + RT high rate of recurrence 75%
- Conclusion: The only protocol associated with continuously disease-free survival is margin-free en bloc resection
 
Sacral Chordoma
- Mayo Clinic; 2005 (1980-2001) PMID 16203885 -- "Operative management of sacral chordoma." (Fuchs B, J Bone Joint Surg Am. 2005 Oct;87(10):2211-6.)
- Retrospective. 52 patients with sacro-coccygeal chordoma. Posterior approach 42%, combined anteroposterior approach 58%. Wide surgical margin 40%. Median F/U 7.8 years
- Outcome: LR 44%; RFS 5-years 59%, 10-years 46%. OS 5-years 74%, 10-years 52%, 15-years 47%. Wide surgical margin most important predictor for survival (100%)
- Conclusion: Wide surgical margin most important predictor of survival and local recurrence
 
- Goteborg; 2000 (Sweden)(1968-1998) PMID 10813725 -- "Prognostic factors in chordoma of the sacrum and mobile spine: a study of 39 patients." (Bergh P, Cancer. 2000 May 1;88(9):2122-34.)
- Retrospective. 39 patients with chordoma, 30 sacral and 9 vertebral. Modern surgical techniques. Mean F/U 8.1 years
- Outcome: wide SM 59%. LR 44%, DM 28%. 5-year OS 84%, 10-year OS 64%
- Conclusion: Improved local control and survival with new surgical techniques
 
- MD Anderson; 1999 (1954-1994) PMID 9894966 -- "Sacral chordoma: 40-year experience at a major cancer center." (York JE, Neurosurgery. 1999 Jan;44(1):74-9; discussion 79-80.)
- Retrospective. 27 patients with sacral chordoma. 26/27 pain, 17/27 autonomic dysfunction. Single operation 44%, two surgeries 33%, multiple surgeries 22%. RT used in 19% of operations
- Outcome: median OS 7.4 years. Recurrence in 70% of surgeries. Median DFS radical surgery 2.3 years vs. subtotal surgery 8 months (SS). If subtotal resection, adjuvant RT 2.1 years vs. no RT 8 months (SS)
- Conclusion: Frequent recurrences. Radical resection leads to improved DFS; adjuvant RT after subtotal resection also leads to improved DFS
 
Photon Therapy
Conventional
- Princess Margaret; 1996 (1958-1992) PMID 8961370 -- "Chordoma: long-term follow-up after radical photon irradiation." (Catton C, Radiother Oncol. 1996 Oct;41(1):67-72.)
- Retrospective. 48 patients with chordoma (sacrum 48%, 42%, mobile spine 10%) referred for consideration, 44 post-op with gross residual disease, 4 microscopic residual disease. RT 26 patients 50/25, 8 patients hyperfractionated 40/44 @ 1 Gy/fx TID, 3 referred for charged particles. 67% patient symptomatic (neurological or pain)
- Outcome: median OS 5.2 years, median TTP 2.9 years. 5-year PFS 23%, 10-year PFS 15%. 1/23 complete response, but good palliation in 85%. No difference between median dose 40 Gy and 60 Gy groups. Median OS after re-treatment 1.5 years. Dead of disease 78%, alive with disease 17%, NED 5%
- Conclusion: Overt residual chordoma rarely cured with conventional EBRT, but treatment does provide useful and prolonged palliation. Suitable patients should be referred for stereotactic photon or particle beam therapy
 
Proton Beam Therapy
- Orsay; 2008 (France)(1996-2006) PMID 18440726 -- "Proton therapy in pediatric skull base and cervical canal low-grade bone malignancies." (Habrand JL, Int J Radiat Oncol Biol Phys. 2008 Jul 1;71(3):672-5. Epub 2008 Apr 25.)
- Retrospective. 30 children with chordoma (n=26), chondrosarcoma (n=3), and chondroma (n=1). Location in skull base (n=13), skull base with extension to cervical canal (n=12), or cervical canal (n=1). Median age 13.5 years. Surgery followed by photon/proton therapy. Mean total dose 68.4 CGE (54.6-71); mean photon dose 37.4 Gy (30.6-45), mean proton dose 32.1 CGE (20-70.2). F/U 2.2 years
- Outcome: Local control chordoma 21/26 (81%), chondrosarcoma 3/3 (100%), chondroma 1/1 (100%). 5-year PFS chordoma 77%, chondrosarcoma 100%
- Toxicity: Grade 3 auditory toxicty 1 patient, Grade 2 pituitary failure 7 patients
- Conclusion: Well tolerated, excellent local control
 
- Institut Curie; 2005 (1992-2002) PMID 16227160 -- "Chordomas of the base of the skull and upper cervical spine. One hundred patients irradiated by a 3D conformal technique combining photon and proton beams."  Noel G et al.  Acta Oncol. 2005;44(7):700-8.
- Retrospective. 100 patients w/ skull base or upper cervical spine chordoma tx'd w/ proton/photon therapy. Median total dose to tumor 67 CGE.
- 2 yr local control rate 86.3%, 4 yr local control rate 53.8%.
- Multivariate analysis showed minimal dose to tumor <56 CGE and failure to encompass 95% tumor w/ 95% isodose line were independent factors for local control.
 
- Harvard/Loma Linda; 2002 (1992-1999) PMID 11958897 -- "Proton radiotherapy in management of pediatric base of skull tumors." (Hug EB, Int J Radiat Oncol Biol Phys. 2002 Mar 15;52(4):1017-24.)
- Retrospective. 29 patients. Chordoma (n=10), chondrosarcoma (n=3), rhabdomyosarcoma (n=4), other sarcomas (n=3), giant cell tumors (n=6), angiofibromas (n=2), chondroblastoma (n=1). Dose 45 - 78.6 CGE in standard fractions. Mean F/U 3.3 years
- Outcome: Malignant tumors - LC 75% (chordoma 60%, chondrosarcoma 100%, rhabdo 100%, other sarcomas 66%), 5-year OS 56%. Benign tumors - LC 8/9, 5-year OS 100%
- Toxicity: Severe late in 7% (motor weakness, sensory deficits)
- Conclusion: Proton RT after major skull base surgery can offer considerable tumor control and survival
 
- Loma Linda; 1999 (1992-98) - PMID 10470818 -- "Proton radiation therapy for chordomas and chondrosarcomas of the skull base." Hug EB et al.  J Neurosurg. 1999 Sep;91(3):432-9.
- Retrospective. 33 chordoma pts (and 25 chondrosarcomas) tx'd w/ proton beam irradiation after maximal surgery. Dose range of 64.8-79.2 CGE.
- 5yr OS for chondrosarcoma was 79%. 5yr local control for chondrosarcoma was 76%.
- Control rates were influenced by brainstem involvement and tumor volume.
- Chordoma with worse outcomes than chondrosarcoma.
 
- MGH; 1995 (1975-93) - PMID 7558946 -- "Radiation therapy for chordomas of the base of skull and cervical spine: patterns of failure and outcome after relapse."  Fagundes MA et al.  Int J Radiat Oncol Biol Phys. 1995 Oct 15;33(3):579-84.  
- 63 pts w/ treatment failure who were tx'd at MGH w/ surgery + combined photon/proton RT to median dose of 70 CGE (66.6-77.4).
- 95% of these pts had local failure as element of their disease failure; 78% had local failure as site of first failure.
 
Carbon Ion Radiotherapy
- Nagoya; 2011 (1990-2007) PMID 20400242 -- "Clinical outcome of sacral chordoma with carbon ion radiotherapy compared with surgery." (Nishida Y, Int J Radiat Oncol Biol Phys. 2011 Jan 1;79(1):110-6. Epub 2010 Apr 17.)
- Retrospective. 17 patients, primary sacral chordoma, treated with surgery (n=10) or carbon ion RT (n=7). Median dose GyE 70.4. Median F/U surgery 6.3 years, RT 4.1 years
- Outcome: 5-year LRFS surgery 62% vs RT 100%, DSS 86% vs 53%. Functional outcome surgery 55% vs RT 75%
- Toxicity: Urinary-anorectal function worse in 60% of surgery patients, unchanged in RT patients.
- Conclusion: Carbon ion RT results in high local control and preservation of function compared with surgery
 
- Heidelberg, Germany, 2007 (1998-2005) - PMID 17363188 -- "Effectiveness of carbon ion radiotherapy in the treatment of skull-base chordomas." Schulz-Ertner D et al.  Int J Radiat Oncol Biol Phys. 2007 Jun 1;68(2):449-57. 
- 96 pts w/ skull base chordoma tx'd w/ carbon ion radiotherapy. All pts had gross residual tumor. Median total dose of 60 CGE (range 60-70). 20 fx over 3 wks.
- 80.6% local control at 3 yrs, 70% local control at 5 yrs.
- 91.8% OS at 3 yrs, 88.5% OS at 5 yrs.
 
Treatment Toxicity
Temporal Lobe Damage
- MGH, 1998 (1984-93) - PMID 9588918 -- "Temporal lobe (TL) damage following surgery and high-dose photon and proton irradiation in 96 patients affected by chordomas and chondrosarcomas of the base of the skull." Santoni R et al.  Int J Radiat Oncol Biol Phys. 1998 Apr 1;41(1):59-68.
- 99 pts w/ chordoma or chondrosarcoma of skull base tx'd w/ photon/proton radiotherapy.
- 10 pts developed temporal lobe damage w/ 8 pts having moderate to severe symptoms.
- Actuarial temporal lobe damage rate was 7.6% at 2 yrs, 13.2% at 5 yrs.
 
Visual Complications
- Liverpool; 2003 (UK) PMID 12724692 -- "Visual complications of proton beam therapy for clival chordoma." (Bowyer J, Eye. 2003 Apr;17(3):318-23.)
- Case report. 4 patients referred for post-op proton therapy.
- Outcome: Bilateral visual loss in 2/4 (50%) patients at 1 and 2 years post proton therapy
- Conclusion: Proton beam therapy not innocuous
 
Review
- Milan; 2006 (Italy) PMID 17545801 -- "Chordoma." (Casali PG, Curr Opin Oncol. 2007 Jul;19(4):367-70.)
Foundations of Education and Instructional Assessment/Edition 4/Foundations Table of Contents/Chapter 9/9.4.3/Read more about the benefits of school/community partnerships from teachers and administration at QLMS!
    This article is issued from Wikibooks. The text is licensed under Creative Commons - Attribution - Sharealike. Additional terms may apply for the media files.